Восемь лет назад был создан консорциум Human Cell Atlas (HCA), который поставил перед собой чрезвычайно амбициозную задачу — картировать все тело человека, а это около 37,2 триллионов клеток. И сейчас ученые сообщают, что атлас сейчас на стадии первого черновика. Что ж, к чему привели тысячи и тысячи часов, вложенных в создание этого исторического «клеточного атласа»?

В настоящее время в HCA работают более 3600 исследователей из 102 стран, которые совместно работают над данными, охватывающими 18 биологических сетей в организме.

Инициатива «Атлас клеток человека» направлена на создание всеобъемлющих справочных карт всех клеток человека — основных единиц жизни. Это основа как для понимания фундамента здоровья человека, так и для диагностики, мониторинга и лечения заболеваний.
Для одной из этих сетей более 30 ученых составили карту развития плода и роста костей, на видео подробно описано формирование скелета, где хрящ (синий) действует как каркас для образования кости (фиолетовый). Видео также подробно отображает развитие клеточного состава черепа, в котором верхняя часть лишена хряща. Видео раскрывает уникальный процесс формирования наших черепов без предварительного начертания хряща для него.
Геном, клетки и ткани человека
Хоть генетические исследования и выявили в геноме человека более 100 000 генетических вариантов, связанных с заболеваниями, мы не знаем, в каких клетках активны большинство этих вариантов генов и какую функцию они выполняют.
Из материалов исследования.
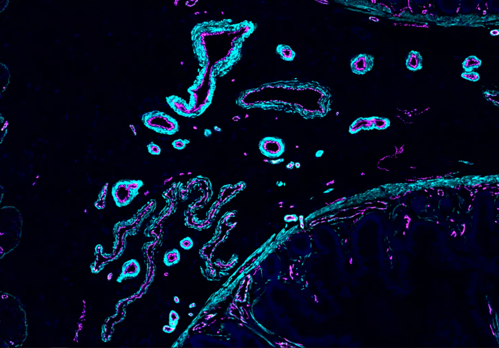
Помимо костей черепа, многочисленные совместные команды изучали строение суставов, желудочно-кишечного тракта, легких (выше) и частей мозга. Цель в том, чтобы лучше понять развитие заболеваний и эффективность лечения, что может оказать глубокое влияние на весь мир медицины. И благодаря технологиям, включая нейросети и машинное обучение, проект невероятно ускорился с момента его создания в 2016 году. Вот отдельная статья о передовых технологиях, используемых для создания этого сложного атласа.

В целом, это огромный шаг вперед в понимании поведения клеток, почему некоторые методы лечения работают для одних и не работают для других. Это облегчает формирование персонализированных терапевтических инструментов для учета клеточного разнообразия. Ожидается, что этот проект предоставит существенную основу для того, чтобы сделать исследования и разработку лекарств более эффективными.
Больше странных материалов на тему мозга, психики, передовых технологий и их слияния с человеком — читайте в материалах сообщества. Подпишитесь, чтобы первыми получать свежие статьи!
Автор: MisterClever


