
Несмотря на известные факты о вреде для здоровья, Facebook* начинает окучивать детей
Согласно исследованию 2012 года, опубликованному на сайте Национального института здоровья, интернет-зависимость (Internet Addiction Disorder, IAD) разрушает жизнь, вызывая «неврологические осложнения, психологические нарушения и социальные проблемы». В справочнике психических заболеваний «Диагностическое и статистическое руководство по психическим расстройствам» (DSM-5) это расстройство до сих пор официально не значится, однако в МКБ-11 (май 2019 г.) включены зависимость от видеоигр и зависимость от азартных онлайн-игр.
Стимулируя выброс дофамина, социальные сети действуют как «цифровой наркотик» и вызывают некоторую степень зависимости. Наверняка вы видели людей, которые буквально каждый день заходят в свой профиль, чтобы почитать ленту новостей от «френдов».
Зависимость от соцсетей
Зависимость от социальных сетей пока изучена недостаточно, чтобы получить клинические определения или рекомендации по лечению. Однако сами пациенты пишут о своём самочувствии и о попытках избавиться от аддикции.
Исследования интернет-зависимости в целом могут пролить свет на ситуацию с соцсетями. Симптомы IAD похожи на любую другую зависимость, это в целом два типа симптомов:
- постоянно растущая потребность в контакте с объектом зависимости,
- плохое самочувствие, когда его не хватает.
Специалисты говорят, что диагноз «нецелесообразное использование интернета или зависимость» ставится не столько по конкретным видам поведения, сколько по «тяжести, функциональному состоянию пациента» и тому, «мешает ли его поведение учёбе, работе или общественной деятельности».
Согласно нескольким недавним исследованиям, проведённым с помощью визуализации мозга, у интернет-зависимых с тяжёлыми последствиями наблюдаются структурные и функциональные аномалии мозга, сходные с теми, что встречаются у людей, страдающих наркоманией.
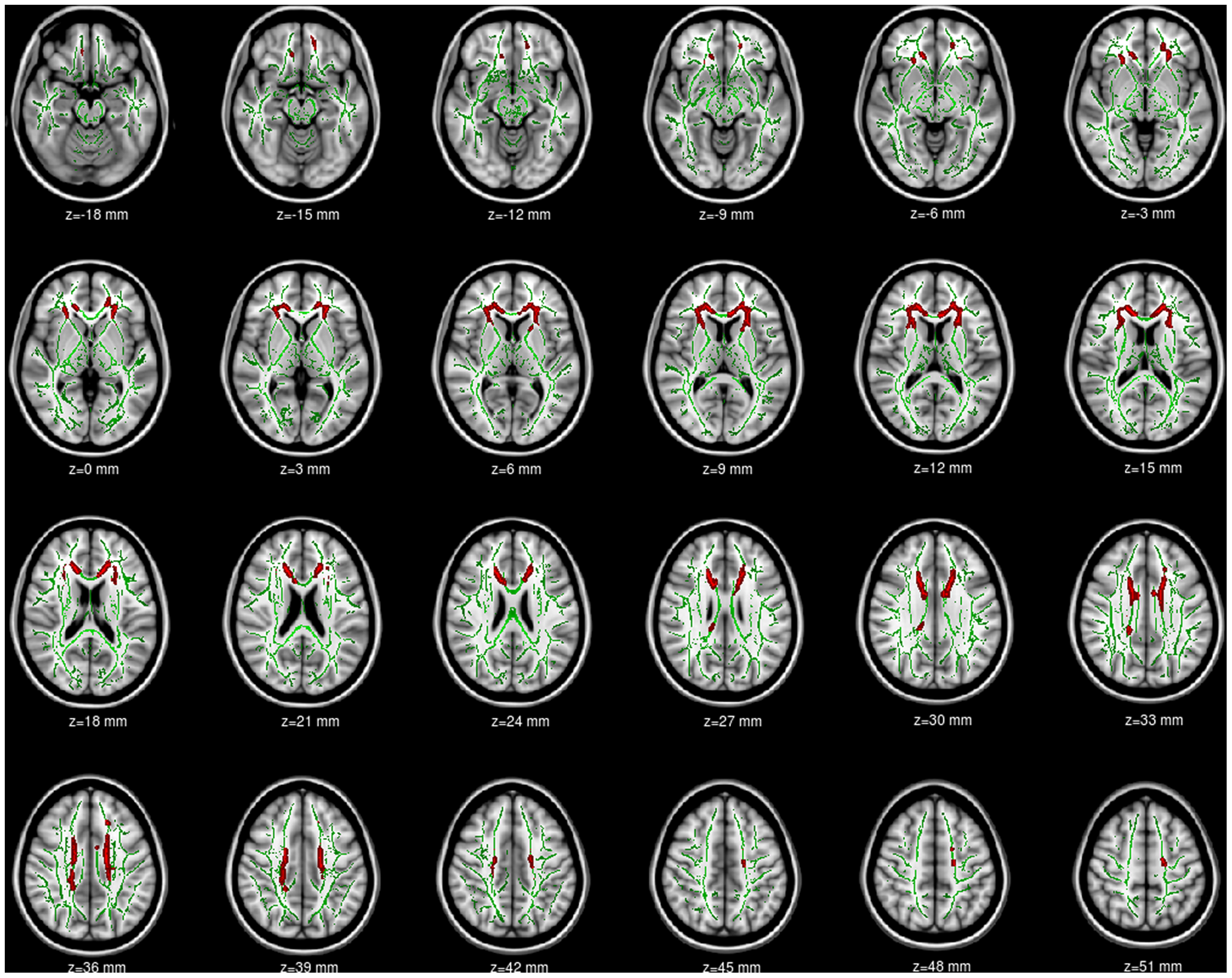
Например, китайские учёные в 2012 году опубликовали визуализацию различных регионов мозга у людей с IAD. Это ограниченное исследование, в котором приняли участие всего 17 пациентов:

Демографические и поведенческие характеристики участников исследования
Отличия в отдельных регионах мозга у этих людей по сравнению со здоровой контрольной группой:

Красным цветом выделены области, в которых функциональная активность значительно ниже (p<0,01, с поправкой на TFCE) у подростков с IAD по сравнению с контрольными группами без IAD. Левая часть изображения соответствует правому полушарию мозга
Другие исследования показали, что интернет-зависимость часто сопровождается тревогой, депрессией или пристрастием к другим веществам, таким как алкоголь или наркотики.
Почему соцсети вызывают особую зависимость? Вероятно, потому что люди по сути своей нарциссичны и хотят быть в центре внимания. Как говорят сами пациенты с IAD: «Я хочу, чтобы на меня обращали внимание, чтобы я „нравился“».
До сих пор нет опубликованных исследований, которые бы демонстрировали корреляцию между нарциссизмом и интернет-зависимостью, но некоторые аспекты деятельности в социальных сетях (например, получение «лайков»), очевидно, стимулируют центры вознаграждения в мозге, то есть стимулируют выделение дофамина.
Врачи говорят, что у пациентов, которые получали лечение от смежных расстройств, таких как депрессия или тревожность, отмечалось улучшение симптомов интернет-зависимости.

Нейроанатомические области с пониженной функциональной активностью у подростков с расстройством интернет-зависимости по сравнению с контрольной группой (p<0,01, с поправкой на TFCE)
Приёмы табачной индустрии, чтобы усилить зависимость
В показаниях перед Конгрессом США бывший топ-менеджер Facebook* Тим Кендалл (Tim Kendall) рассказал, что его фирма напрямую копировала приёмы, которые раньше использовала табачная индустрия, чтобы вызвать у людей привыкание к продукции, однозначно вредной для людей:
Изначально табачные компании просто стремились усилить действие никотина. Но этого оказалось недостаточно, чтобы развивать бизнес так быстро, как им хотелось. Поэтому они добавили в сигареты сахар и ментол, чтобы вы могли дольше задерживать дым в лёгких. В Facebook* мы добавили обновления статусов, теги к фотографиям и лайки, что повысило значение статуса и репутации в соцсети — и заложило основу для кризиса психического здоровья подростков.
Дезинформация, теории заговора и фейковые новости стали процветать, как бронхолитики табачных компаний, позволяющие сигаретному дыму покрыть бóльшую площадь лёгких.
Все решения Facebook* определяются метрикой «вовлечённости». Это по сути степень привыкания, то есть зависимости людей от цифрового «наркотика». Метрика до сих пор является ключевой для социальных сетей, которые стремятся:
- максимально долго удерживать пользователя на платформе,
- минимизировать время в «офлайне», когда пользователь выходит из социальной сети или откладывает телефон: эти промежутки времени должны быть как можно короче.
Вовлечённость увеличивает прибыль платформы, так что это главный показатель для соцсети: «Изначально мы использовали вовлечённость как своего рода косвенный показатель пользы для пользователей, — объяснил Кендалл. — Но мы также начали понимать, что пользователи настолько втягиваются, что уже не способны соблюдать собственные долгосрочные интересы и покинуть платформу… Мы начали видеть реальные последствия, но им не придавали особого значения. Вовлечённость всегда побеждала, она всегда брала верх».
Алгоритм максимально привлекает ваше внимание, неоднократно предлагая вам контент, который вызывает у вас самые сильные эмоции — он стремится спровоцировать, шокировать и разгневать. При этом технология становится всё умнее и лучше, чтобы спровоцировать вашу реакцию. […] Это не случайно. Это алгоритмически оптимизированный план действий для максимизации внимания пользователей — и прибыли».
Другими словами, компания видит, что пользователи действуют себе во вред, когда многие часы проводят в её соцсетях, включая Facebook*, Instagram* и WhatsApp — но ей это выгодно, и поэтому она продолжает внедрять деструктивные практики.
Это происходит до сих пор.
«Нет стимула прекращать распространение [токсичного контента] и есть невероятный стимул продолжать распространять его и делать это более эффективно, — говорит Кендалл. — Я просто не верю, что ситуация изменится, пока не появятся финансовые, гражданские или уголовные санкции, связанные с вредом, который наносят социальные сети. Без принудительных мер они просто будут продолжать извиняться и говорить пустые банальности… но я не верю, что что-то системно изменится… стимулы для сохранения статус-кво сейчас слишком высоки».
Тим Кендалл дал показания в рамках слушаний в Комитете Палаты представителей по энергетике и торговле в сентябре 2020 года. На них рассматривался вопрос, как социальные платформы способствуют распространению экстремистского и радикализирующего контента.
«Социальные медиасервисы, которые я и другие создавали в течение последних 15 лет, с пугающей скоростью и интенсивностью разъединяют людей [tear people apart], — сказал Кендалл. — Как минимум, мы подорвали наше коллективное взаимопонимание, а в худшем, боюсь, мы толкаем себя на грань гражданской войны».
Кендалл — далеко не единственный бывший сотрудник Meta, который сейчас выражает сожаление по поводу прежней работы и занимает позицию против компании. Другие тоже пришли к выводу, что в отношении соцсетей давно пора ввести какое-то регулирование или внешнее принуждение.
Сооснователь Facebook* Крис Хьюз в 2019 году опубликовал большую статью, в которой призвал регулирующие органы разделить компанию на части.

Крис Хьюз (справа) и Марк Цукерберг (слева) в Гарвардском университете, 2004 год. Фото: Rick Friedman
Крис Хьюз считает, что сосредоточенность Марка на росте компании «заставило его пожертвовать безопасностью» и корректными правилами ведения бизнеса. Он говорит, что и сам в прежние годы не задумывался, как алгоритм ленты новостей может изменить культуру, повлиять на выборы и расширить возможности националистических лидеров. А теперь он беспокоится, что Марк «окружил себя командой, которая укрепляет его убеждения, а не бросает им вызов».
Соцсети в нынешнем виде вредны не только для психического здоровья, но также используются для настоящих преступлений, например, там реально продаются наркотики.
Цифровой детокс
В интернете немало историй, как люди удаляют аккаунты соцсетей — и через короткое время чувствуют себя гораздо спокойнее и счастливее. Положительный эффект даже не требует специальных тестов на качество сна или опросников, он ощущается в непосредственном опыте.
Достаточно нескольких простых действий:
- удалить приложения социальных сетей со смартфона или хотя бы отключить уведомления,
- заходить туда как можно реже, только по мере необходимости,
- не держать телефон постоянно под рукой.
Цифровой детокс благоприятно влияет на здоровье, потому что каждый способен изменить свои привычки — и таким образом постепенно изменить свою личность. Человек меняет среду вокруг — а затем она меняет его самого.
Социальные сети и другие цифровые сервисы — не друг нам, а действуют прямо в противоположных интересах. Руководство этих сервисов знает, что они причиняют вред. Но продолжают деятельность ради прибыли. В этом сходство с табачной индустрией середины прошлого века, которая тоже прекрасно знала о вреде курения для здоровья, но не афишировала эту информацию и оправдывалась тем, что у каждого якобы есть свободный выбор: курить или не курить — и продолжали травить человечество, ссылаясь на принципы свободы и демократии (см. фильм «Здесь курят», где Илон Маск выступил продюсером). То же самое происходит и сейчас. Meta/Facebook* точно так же подвергают сомнению научные исследования о вреде соцсетей (даже свои собственные) и отказывает исследователям в доступе к своим данным.
Несмотря на известные факты о вреде для здоровья подростков, Facebook* точно как табачная индустрия начинает окучивать юное поколение, разрабатывая детские версии Messenger и Instagram*.
И не только Facebook*, но и другие медиаплатформы тоже ориентируются на «вовлечённость» как основной KPI, это касается Twitter, TikTok, Pinterest, YouTube и прочих. У всех бизнес-модель основана на показе рекламы, поэтому их стратегия — привлечение человеческого внимания любыми способами, вплоть до экстремизма и радикализации контента через алгоритмы рекомендаций. Открывая социальную сеть, мы погружаемся во враждебную среду, которая недружелюбна для человека — об этом всегда нужно помнить, и соблюдать меры предосторожности. Например, на YouTube можно использовать независимые клиенты для офлайнового просмотра видео, а также отключить всю рекламу и рекомендации контента.

Чтобы противостоять вредоносным практикам, предлагается создать независимый Суперфонд для Интернета, который будет следить за выполнением законов и очищать цифровые платформы от токсичного контента, дезинформации и тёмных паттернов UX, которые стимулируют зависимость у пользователей, затрудняют отписку от сервисов и т. д. Финансирование фонда, естественно, за счёт самих соцсетей.
Reddit, Instagram*, X, Facebook*, TikTok, LinkedIn, Threads и другие — это эквивалент фастфуда в мире цифровых медиа. Неудивительно, что ‘brain rot’ признали словом года в 2024 году. Создаётся впечатление, что мир вокруг постепенно тупеет, а окружающие интерфейсы, сайты и программы становятся проще и примитивнее. Возможно, следующим словом года станет enshittification (дерьмофикация) в отношении не только интернет-платформ, но и любых товаров и сервисов.
*Деятельность Meta — соцсети Facebook и Instagram — запрещена в России как экстремистская.
© 2025 ООО «МТ ФИНАНС»
Telegram-канал со скидками, розыгрышами призов и новостями IT 💻
Автор: alizar



