Одиночество меняет мозг таким образом, что это может помешать способности доверять и устанавливать отношения с другими людьми
Научно-исследовательская антарктическая станция «Ноймайер III» расположена на краю безжалостного антарктического шельфового ледника Экстрем. В период зимовки, когда температура может опускаться ниже минус 50 градусов по Цельсию, а ветер может достигать скорости более 100 км/ч, никто не может ни прибыть на станцию, ни покинуть ее. Изоляция станции необходима для метеорологических, атмосферных и геофизических научных экспериментов, проводимых на ней небольшой группой ученых, которые работают там в зимние месяцы и стойко переносят холодное одиночество.
Несколько лет назад станция стала местом для исследования одиночества как такового. Группа исследователей из Германии хотела выяснить, не влияют ли социальная изоляция и однообразие окружающей среды на мозг людей, проводящих на станции столь долгое время. Восемь членов экспедиции, работавших на станции «Ноймайер III» в течение 14 месяцев, согласились пройти обследование мозга до и после экспедиции, а также мониторинг химического состава мозга и когнитивных способностей во время экспедиции. Девятый член экипажа также принял участие в исследовании, но не смог пройти сканирование мозга по медицинским причинам.
Как в 2019 году заметили исследователи, у социально изолированной группы, в отличие от контрольной группы, наблюдалась потеря объема префронтальной коры — области в передней части мозга сразу за лбом, которая отвечает в первую очередь за принятие решений и решение проблем. У них также был снижен уровень нейротрофического фактора мозга — белка, который способствует развитию и сохранению нервных клеток мозга. Уровень этого белка оставался низким по крайней мере в течение полутора месяцев после возвращения группы специалистов с берегов Антарктиды.
Неизвестно, в какой степени это вызвано именно социальной изоляцией. Однако эти результаты согласуются с данными более поздних исследований о том, что хроническое одиночество сильно меняет мозг таким образом, что изменения только усугубляют проблему.
Нейронауки свидетельствуют о том, что одиночество не обязательно является результатом невозможности познакомиться с другими людьми или страха перед социальным взаимодействием. Напротив, цепочки в нашем мозге и изменения в поведении могут создавать своеобразную «Уловку-22»: мы желаем общения с другими людьми, но считаем их ненадежными, склонными к осуждению и недружелюбными. Поэтому сохраняем дистанцию, сознательно или бессознательно отвергая потенциальные возможности для общения.
Одиночество может быть трудно изучить эмпирически, ведь оно абсолютно субъективно. Совсем другое дело — социальная изоляция, то есть связанное с одиночеством состояние, которое является объективной мерой того, насколько мало у человека отношений. Хотя исследователи разработали такие инструменты, как UCLA Loneliness Scale, которые помогают оценить глубину ощущений человека, люди сами описывают свои ощущения.
Из результатов такой работы становится ясно, что физическое и психологическое бремя одиночества по всему миру огромно. В одном исследовании 22% американцев и 23% британцев заявили, что чувствуют себя одинокими часто или постоянно. Это было до пандемии.
В одиночестве мы не просто плохо себя чувствуем: оно плохо влияет на наше здоровье. Одиночество может приводить к повышению артериального давления, инсультам и заболеваниям сердечно-сосудистой системы. Кроме того, при нем риск сахарного диабета второго типа может вырасти вдвое, а вероятность развития деменции — на 40%. Как следствие, у хронически одиноких людей риск умереть на 83% выше, чем у людей, которые ощущают себя не столь изолированными.
Отклонение в сторону отчуждения
Когда несколько лет назад нейробиологи из Германии и Израиля взялись за изучение одиночества, они ожидали, что его нейрологическая основа будет схожа с картиной социальной тревожности и связана с мозжечковой миндалиной. Миндалина, которую часто называют центром страха, имеет тенденцию к активации, когда мы сталкиваемся с источниками страха, начиная от змей и заканчивая посторонними людьми. «Мы считали, что, если социальная тревожность связана с повышенной активностью миндалины, то же самое должно происходить и у одиноких людей», — рассказывает Яна Либерц, докторант Боннского университета в Германии, которая входила в состав исследовательской группы.
Однако исследование, опубликованное исследовательской группой в 2022 году, показало, что, хотя угрожающие социальные ситуации вызывают повышенную активность миндалины у людей, страдающих социальной тревожностью, на одиноких людей они такого влияния не оказывают. Подобным образом у людей с социальной тревожностью снижается активность в отделах мозга, связанных с так называемым «вознаграждением», что не характерно для одиноких людей.
Яна Либерц была участницей международной группы исследователей нейрологических предпосылок одиночества. По ее словам, к удивлению всей группы, «основные черты социальной тревожности не наблюдались в условиях одиночества».
«Основные черты социальной тревожности не наблюдались в условиях одиночества», — заявила Яна Либерц. По ее словам, полученные результаты показали, что простой совет выходить на улицу и побольше общаться с людьми не избавляет от одиночества (подобно тому, как целенаправленное поведение позволяет избавиться от фобии змей). Этот метод часто не работает, поскольку не воздействует на первопричину одиночества. Недавний математический анализ подтвердил, что предоставление одиноким людям простой возможности подружиться не оказывает никакого влияния на субъективное ощущение одиночества.
Проблема одиночества, по-видимому, состоит в изменении мышления. В исследованиях поведения одинокие люди реагировали на негативные социальные сигналы, такие как образы отторжения, в течение 120 миллисекунд — в два раза быстрее, чем люди с удовлетворительными отношениями. Время их реакции составило менее половины времени моргания. Одинокие люди также предпочитали держаться подальше от незнакомцев, меньше доверяли окружающим и испытывали неприязнь к прикосновениям.
Возможно, именно поэтому эмоциональное благополучие одиноких людей часто движется по «порочному кругу» и усугубляется, считает Данило Бздок, междисциплинарный исследователь из Университета Макгилла, специалист по нейронаукам и машинному обучению. «Они склонны в конечном счете более негативно воспринимать любую получаемую информацию (выражения лиц, текстовые сообщения — все что угодно) и проваливаются еще глубже в яму одиночества».
Сбой программы пассивной работы мозга
Бздок и его коллеги провели крупнейшее на данный момент исследование по поиску признаков одиночества в человеческом мозге — по словам Бздока, в исследовании участвовало в 100 раз больше испытуемых, чем во всех предшествующих. Использовались данные из UK Biobank — биомедицинской базы данных, содержащей снимки мозга около 40 000 жителей Великобритании, а также информацию об их социальной изоляции и одиночестве.
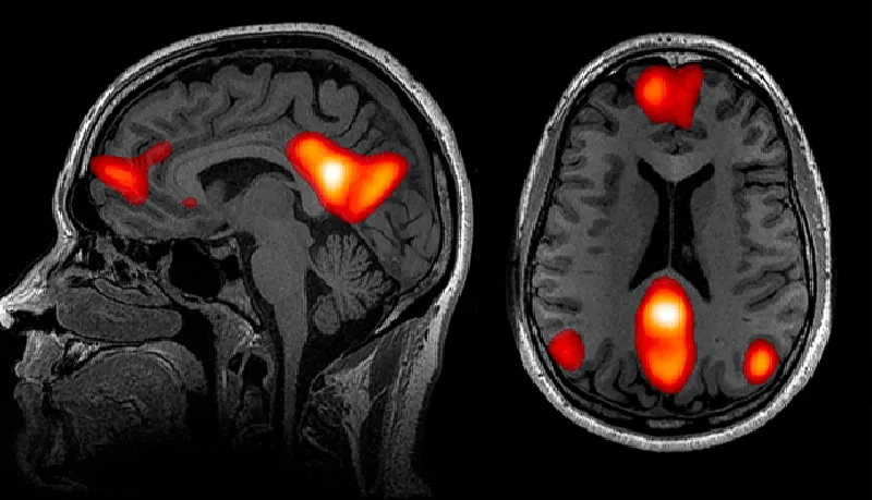
Результаты, опубликованные в 2020 году в журнале Nature Communications, показали, что очаг одиночества в мозге находится в сети пассивного режима работы мозга (СПРРМ) — той самой части мозга, которая активизируется, когда человек не занят решением каких-либо задач. «Всего 20 лет назад мы даже не знали, что у нас есть такая сеть», — сказал Бздок. Тем не менее исследования показали, что на активность СПРРМ приходится основная часть потребляемой мозгом энергии.
Как показали Бздок и его коллеги, некоторые области СПРРМ у хронически одиноких людей не только больше, но и сильнее связаны с другими областями мозга. Кроме того, СПРРМ, судя по всему, вовлечена во многие процессы, являющиеся особенностью человека разумного, — язык, прогнозирование будущего и причинно-следственное мышление. В общем, СПРРМ активируется тогда, когда мы думаем о других людях, в том числе когда мы истолковываем их намерения.

Функциональная магнитно-резонансная томография человеческого мозга выявляет области, связанные с СПРРМ — совокупностью нейронных центров, которые наиболее активны, когда мы думаем о других людях.
Результаты исследования связей СПРРМ позволили подтвердить открытия психологов нейровизуализационными данными. Согласно этим открытиям, одинокие люди склонны мечтать о социальном взаимодействии, ностальгировать о социальных событиях прошлого и даже очеловечивать своих питомцев, в частности разговаривать с ними как с людьми. «Для этого тоже требуется работа СППРМ», — комментирует Бздок.
Хотя одиночество может способствовать развитию насыщенной воображаемой социальной жизни, оно может сделать менее ценными реальные социальные взаимодействия. Возможная причина этого выявлена в исследовании 2021 года Бздока и его коллег, которое также было основано на обширных данных UK Biobank. Ученые отдельно рассматривали социально изолированных людей и людей с низким уровнем социальной поддержки, что определялось как отсутствие человека, которому можно довериться каждый или почти каждый день. Исследователи обнаружили, что у всех таких людей меньше орбитофронтальная кора — эта часть связана с обработкой вознаграждений.
В прошлом году крупное исследование по визуализации мозга, основанное на данных более чем 1300 японских добровольцев, показало, что более сильное одиночество сопряжено с более сильными функциональными связями в области мозга, управляющей зрительным вниманием. Это подтверждает данные, полученные в ходе окулографических исследований, о том, что одинокие люди склонны чрезмерно концентрироваться на неприятных социальных сигналах, например на том, что окружающие их игнорируют.
Глубокая и неприятная тоска по обществу
И все же, хотя одинокие люди могут находить встречи с другими людьми некомфортными и не приносящими удовлетворения, они, судя по всему, жаждут общения. Покойный Джон Качиоппо, нейробиолог из Чикагского университета, чьи исследования принесли ему прозвище «Доктор Одиночество», выдвинул гипотезу о том, что одиночество — это эволюционный механизм, подобный голоду и сигнализирующий о том, что в нашей жизни что-то пошло не так. Как голод побуждает нас искать пищу, так и одиночество должно побуждать нас искать общения с другими людьми. Для наших предков, выживание которых в африканских саваннах, вероятно, зависело от связи с группой, этот социальный импульс мог стать вопросом жизни и смерти.
Джон Качиоппо выдвинул теорию о том, что одиночество может быть развившимся в ходе эволюции механизмом адаптации. Как чувство голода побуждает нас есть, так и чувство одиночества может подталкивать к поиску социальных взаимодействий.
Последние данные визуализации мозга подтверждают идею о том, что одиночество глубоко укоренилось в нашей психике. В одном из исследований Ливия Томова, научный сотрудник в области нейронаук Кембриджского университета и ее коллеги попросили 40 человек воздержаться от приема пищи на 10 часов, а затем картировали их мозг, пока они рассматривали фотографии аппетитных блюд. Затем тем же добровольцам потребовалось провести 10 часов в одиночестве — без телефонов, электронной почты и даже без книг, которые могли бы стать заменой общения. Затем им провели второе картирование мозга, на этот раз — во время просмотра фотографий счастливых дружеских компаний. Когда ученые сравнили снимки мозга этих людей, показатели активации мозга, когда они были голодны и когда чувствовали себя одинокими, оказались на удивление схожими.
По мнению Томовой, этот эксперимент подчеркнул важную истину об одиночестве: если всего 10 часов без социальных взаимодействий достаточно, чтобы вызвать практически те же нейросигналы, что и лишение пищи, «это подчеркивает, насколько фундаментальна наша потребность в общении с людьми», — сказала она.
Больше друзей — больше мозгов
Последние исследования также подтверждают эволюционную теорию, называемую гипотезой социального мозга, которая предполагает, что при насыщенной социальной жизни мозг крупнее. Эта идея возникла как теория о том, как мозг мог измениться в ходе эволюции, но больший мозг, по-видимому, — прямое следствие жизненного опыта. В целом у приматов (кроме людей), которые живут в больших социальных группах или делят жизненное пространство с большим количеством соседей по клетке, мозг крупнее. Если конкретнее, у таких приматов больше серого вещества в префронтальной коре головного мозга.
Как показали исследования, человек не так уж и сильно отличается от других приматов. Исследование 2022 года показало, что у пожилых одиноких людей часто наблюдается атрофия ряда участков мозга, включая таламус, который обрабатывает эмоции, и гиппокамп — центр памяти. Эти изменения, по мнению авторов, позволяют объяснить связь между одиночеством и деменцией.
Конечно, все эти выводы вызывают вопрос о курице и яйце: предрасполагают ли различия в мозге к одиночеству или одиночество перестраивает мозг и сокращает его объем? По словам Бздока, в настоящее время решить эту загадку не представляется возможным. Однако он считает, что причинно-следственная связь может быть двусторонней.
Исследования приматов и результаты эксперимента на станции «Ноймайер III» показывают, что опыт и социальное окружение могут сильно влиять на структуру мозга человека, как будто на плате «прожигая» в нем те изменения, которые может вызвать одиночество. С другой стороны, исследования близнецов показали, что одиночество отчасти передается по наследству: почти 50% различий в чувстве одиночества у отдельных людей можно объяснить генетическими различиями.
Хронически одинокие люди не безвозвратно замыкаются в этих чувствах в силу своей природы и воспитания. Исследования показывают, что когнитивная терапия может быть эффективна для преодоления одиночества путем обучения людей распознаванию того, как их поведение и образ мыслей мешают им формировать те виды отношений, которые для них важны. Должны быть возможны и более эффективные методы борьбы с одиночеством и социальной изоляцией.
Например, в недавнем исследовании Яна Либерц и ее коллеги изучили активность мозга у людей, участвующих в игре, которая основана на доверии. При сканировании мозга одиноких людей одна область мозга была гораздо менее активна, чем у людей, живущих в социальной среде. Эта область, называемая островковой долей, имеет тенденцию активизироваться, когда мы проверяем свои интуитивные ощущения, поясняет Либерц. «Это может быть причиной проблем одиноких людей с доверием к другим — они не могут полагаться на свои [интуитивные] ощущения», — сказала Либерц. Вмешательства, направленные на доверие, могут стать частью решения проблемы одиночества.
Другая идея — стимулировать синхронность. Исследования показывают, что одним из ключевых факторов того, насколько люди нравятся и доверяют друг другу, является точность совпадения их поведения и реакций в разные моменты. Такая синхронность в поведении людей может быть как простой — ответная улыбка или зеркальное отражение языка тела во время разговора, так и сложной — хоровое пение или командная гребля. В исследовании, опубликованном год назад, Либерц и ее коллеги показали, что одиноким людям трудно синхронизироваться с окружающими и что этот диссонанс заставляет участки их мозга, отвечающие за наблюдение за действиями, работать в усиленном режиме. Обучение одиноких людей навыкам синхронизации с действиями других людей может стать еще одним стратегическим вмешательством. Само по себе оно не устранит одиночество, «но может стать отправной точкой», — говорит Либерц.
А если все остальное не сработает, могут появиться новые химические методы лечения. В эксперименте, проведенном в Швейцарии, после того как добровольцы приняли псилоцибин, психоактивное соединение, содержащееся в галлюциногенных грибах, они сообщили, что чувствуют себя не настолько социально отчужденными, как раньше. При сканировании их мозга была обнаружена меньшая активность в областях, которые обрабатывают болезненный социальный опыт.
Хотя такие меры, как когнитивно-поведенческая терапия, поощрение доверия и синхронности и даже употребление галлюциногенных грибов, могут помочь избавиться от хронического одиночества, временное чувство одиночества, скорее всего, всегда будет оставаться частью жизненного опыта людей. И в этом нет ничего плохого, говорит Томова.
Она сравнивает одиночество со стрессом: это неприятно, но не всегда несет плохие последствия. «Оно дает организму энергию, благодаря которой мы способны справиться с трудностями, — сказала она. — Одиночество становится проблемой, когда принимает хронический характер, потому что наш организм не предназначен для постоянного существования в таком состоянии. Именно тогда наши адаптивные механизмы в конечном счете ломаются».
Data Science и Machine Learning
- Профессия Data Scientist
- Профессия Data Analyst
- Курс «Математика для Data Science»
- Курс «Математика и Machine Learning для Data Science»
- Курс по Data Engineering
- Курс «Machine Learning и Deep Learning»
- Курс по Machine Learning
Python, веб-разработка
- Профессия Fullstack-разработчик на Python
- Курс «Python для веб-разработки»
- Профессия Frontend-разработчик
- Профессия Веб-разработчик
Мобильная разработка
Java и C#
- Профессия Java-разработчик
- Профессия QA-инженер на JAVA
- Профессия C#-разработчик
- Профессия Разработчик игр на Unity
От основ — в глубину
А также
Автор: honyaki



