Продолжаем разбираться со особенностями МРТ-данных для обучения нейронных сетей. Содержание и первые части цикла статей здесь.
5. Некоторые серии и методы
Большое количество настроек импульсных последовательностей (и не только их) приводит к разнообразию получаемых изображений. Их условное разделение на группы помогает лучше ориентироваться в этом «мире» и более точно применять те или иные методы их анализа.
Далее описано только несколько типов серий изображений, а также методов, используемых при их генерации. Это далеко не полный список, хотя по этим примерам можно понять основные принципы и подходы.
5.1. Анатомические и функциональные серии
В зависимости от параметров сканирования и применяемых методов и техник будут генерироваться разные изображения. После выбора настроек осуществляется один или несколько проходов томографа по изучаемой области тела пациента. В результате создается набор однотипных слайсов – он часто называется серией (а иногда и последовательностью – не путать с импульсной). В рамках одной серии большинство характеристик являются общими для всех слайсов.
Вариативность комбинаций настроек и методов приводит к большому разнообразию получаемых серий. Однако среди них можно выделить две укрупненные группы, обладающие общими свойствами и наиболее интересные для DS-задач:
-
Анатомические серии предназначены для детальной визуализации всех тканей исследуемой области и используются для точной сегментации. При создании изображений могут применяться техники подавления или усиления сигналов от отдельных тканей, но в целом эти серии характеризуются большим размером слайсов и высоким контрастом.
-
Функциональные серии направлены на визуализацию отдельных тканей или процессов с теми или иными особенностями и обычно используются для детекции или классификации патологий, т. к. границы условны или размыты. Сигналы от остальных тканей не представляют интереса. Размер и контраст слайсов обычно ниже, чем для анатомических серий того же исследования.
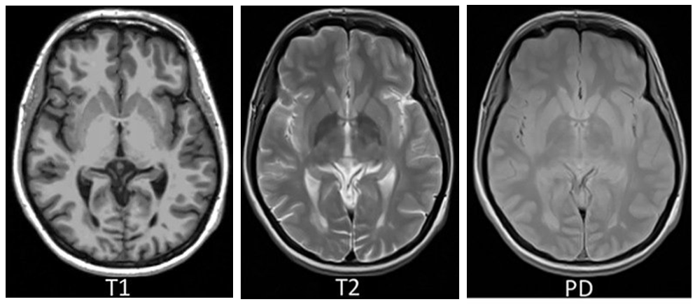
5.2. Основные анатомические серии (T1W, T2W, PdW)
Серия T1 (Т1ВИ, T1W, T1-Weighted)
ИП спин-эхо:
-
короткое ТR
-
короткое ТЕ
ИП градиентного эха:
-
большой FA
-
короткое ТЕ
Контрастность тканей зависит от различий в восстановлении продольной намагниченности (T1). Поэтому такие изображения называют Т1-взвешенными.
Серия T2 (Т2ВИ, T2W, T2-Weighted)
ИП спин-эхо:
-
длинное TR
-
длинное ТЕ
ИП градиентного эха (редко):
-
маленький FA
-
длинное ТЕ
Контрастность ткани зависит от различий в восстановлении поперечной намагниченности (T2). Поэтому такие изображения называют Т2-взвешенными.
Серия Pd (PdВИ, PdW, Pd-Weighted)
ИП спин-эхо:
-
длинное TR
-
короткое ТЕ
ИП градиентного эха:
-
средний FA
-
короткое ТЕ
Эффекты Т1- и Т2-взвешенности отсутствуют или минимальны, контрастность тканей зависит от локальной протонной плотности. Поэтому такие изображения называют протонно-взвешенными или средневзвешенными.
Поскольку протонная плотность является наименее вариабельным параметром по сравнению с временами Т1 и Т2, то и контраст таких изображений ниже. Поэтому при диагностике наиболее информативными являются T1W и T2W серии, а необходимость в PdW возникает редко, обычно в ортопедии или неврологии.
Однако нужно учитывать, что на любом изображении контраст всегда зависит от всех трех параметров – времен Т1 и Т2, а также протонной плотности. Просто вклад этих параметров различен. И, поскольку значения ТR и ТE можно выбирать любыми, жесткой границы между рассмотренными сериями провести невозможно.
Значения TR и TE подбираются под каждую конкретную задачу, чтобы усилить контраст нужных для данного исследования тканей. Например, применение очень больших TR и TE дает сильно взвешенные по T2 изображения — т.н. «миелоурографический» режим (MYUR). В этом режиме хорошо визуализируются как нормальные структуры с большим содержанием свободной жидкости, так и патологические, например, ликворные кисты [5].
В качестве ориентира, но не как безусловный порог, в клинической практике подразумеваются следующие значения [4]:
-
Короткий TR – обычно меньше 500 мс.
-
Длинный TR – обычно больше 1500 мс.
-
Короткий TE – обычно меньше 30 мс.
-
Длинный TE – обычно больше 90 мс.
Серия Т1 формируется быстрее за счет коротких TR и TE, поэтому она, кроме всего прочего, является основой для многих других серий, например, с применением контраста (см. далее). Особенно часто для контрастных серий используются сверхбыстрые ИП градиентного эха с очень малым FA и очень коротким TR, а также с оптимизированным заполнением К-пространства [4].
Тем не менее, во многих протоколах требуется наличие именно Т2 серии. Поэтому часто применяются техники и методы для ускорения сканирования. Так, ETL для Т2-серий обычно существенно больше единицы.
Стоит отметить, что для анатомических серий используется взвешивание по истинному Т2. Взвешивание по Т2* используется редко и обычно для функциональных серий с использованием градиентного эхо-сигнала и относительно длительных значений TE. Такие серии используются, например, для обнаружения кровоизлияний или кальцинатов [4].
5.3. Диффузионно-взвешенные изображения, карты ИКД (DWI, ADC)
Диффузионно-взвешенные изображения (ДВИ, Diffusion Weighted Imaging, DWI) – метод визуализации броуновского движения молекул воды в тканях, основанный на различиях в движении молекул, в первую очередь, во внеклеточном пространстве. Диффузионные серии являются функциональным видом исследований, т.к. акцентируют не на общей структуре всех тканей зоны исследования, а на динамических характеристиках молекул воды. Для ряда патологий данные серии входят в рекомендованные регламенты диагностики и лечения, например, рака предстательной железы, опухоли молочной железы и др.
DWI обычно выполняют с уменьшенной матрицей К-пространства, поэтому и сами изображения чаще всего меньше по размерам и по разрешению, чем анатомические серии.
Все последовательности DWI включают в себя технологию жироподавления. Без ее применения на изображении возникают выраженные артефакты, обусловленные наличием двух изображений (по жиру и по воде), смещенных относительно друг друга. В результате картинка размывается и становится неинформативной. [6]
Получение DWI основано на Т2-взвешенной серии с ИП типа спинового эха. Регистрация эхо-сигнала часто осуществляется с помощью технологий EPI (Echo Planar Imaging, см. далее), но в некоторых случаях нужен и используется nonEPI-DWI с дополнительными методами типа FOCUS, MUSE или без них.
Для формирования DWI в ИП включаются два дополнительных диффузионных градиентных импульса, которые подаются перед и после первого 180°-сигнала вдоль определенных направлений (X, Y, Z или промежуточные). Регистрируемый сигнал зависит от степени подвижности молекул воды в исследуемой области и параметров градиентных импульсов. Максимальная интенсивность сигнала будет наблюдаться для молекул воды с низкой подвижностью, т. е. с ограниченной диффузией, т.к. возбужденные протоны не успевают «разбежаться» [6].
Параметры градиентных импульсов (амплитуды, длительности, время между ними) настраиваются так, чтобы выделять диффузию определенной скорости. Обобщением этих параметров является b-фактор (b-value) – чем он выше, тем более высок вклад диффузии в контраст изображений, т.е. осуществляется взвешивание по этому свойству. Но, вместе с тем, при возрастании b-фактора снижается интенсивность сигнала. b-фактор равный нулю дает анатомическую Т2-серию со сниженным разрешением и с подавлением сигнала от жировой ткани.
Для диагностики опухолей обычно используется высокий b-фактор (больше 1000, оптимально больше или равно 1400), который позволяет обнаружить сниженную диффузию в местах, где клеточная плотность аномально увеличена, а объем внеклеточной жидкости уменьшен. При меньшем b-факторе диффузионного взвешивания недостаточно для обнаружения таких аномальных зон, т.к. начинает преобладать Т2-взвешивание (эффект Т2-просвечивания). Это выражается в зонах высокого сигнала там, где ограничения диффузии на самом деле нет.
a, d – Т2-серия, b, e – DWI b-value 1000, c, f – DWI b-value 1600 [8]
Однако, получение DWI с высоким b-фактором непосредственно на томографе затруднительно, т.к. для получения изображений с достаточным качеством и без артефактов требуется или значительное увеличение времени сканирования, или использование более мощных томографов или специальных катушек. Поэтому часто такие серии создаются аналитически путем экстраполяции кривых затухания сигнала на основе набора данных с более низкими b-факторами. Один из алгоритмов – линейная экстраполяция логарифма значений пикселей.
Во многих публикациях отмечено, что подобные синтетические серии более информативны, чем оригинальные, т.к. с ростом b-фактора, к тому же, снижается уровень шума.
Для DS-задач синтезирование DWI-серий целесообразно еще и по причине уменьшения влияния разнородности исходных данных на результаты, т.к. в разных исследованиях могут встречаться разные наборы b-факторов.
Однако b-фактор не столь однозначный параметр, как хотелось бы. Одному и тому же его значению могут соответствовать разные комбинации параметров градиентных импульсов, лучше или хуже выделяющие те или иные ткани. Поэтому и изображения могут сильно отличаться друг от друга. [6]
Кроме того, существуют ткани с неодинаковым по разным направлениям коэффициентом диффузии, что связано с наличием структур, вдоль которых диффузия происходит более свободно, чем в поперечном направлении. В связи с этим направление векторов градиентов часто имеет не меньшее значение, чем числовые характеристики, сведенные в b-фактор. Для учета этих особенностей там, где это важно, используется диффузионно-тензорная (Diffusion Tensor Imaging, DTI) или диффузионно-спектральная визуализация (Diffusion Basis Spectrum Imaging, DBSI).
для одного и того же b-фактора [источник]
При проведении исследования для каждой DWI-серии обычно формируется несколько наборов слайсов, соответствующих разным b-факторам – условно, 3D-объемов. Выбор количества объемов и набора b-факторов зависит от используемого протокола на конкретном томографе (не путать с протоколом проведения исследования для органа или патологии). Например, можно встретить 5b-протокол, включающий следующие b-факторы: 0, 100, 400, 800, 1500. Разнообразие таких протоколов велико, но при изучении данных можно ожидать наличие хотя бы одного из них, содержащего не менее двух объемов в рамках одной DWI-серии.
В итоге, DWI-серия обычно хранит 4D-данные. Выбор из них 3D-объема для обучения и инференса нейронных сетей обычно осуществляется по целевому значению b-фактора, хотя могут использоваться и другие характеристики. Однако значения этого параметра в DICOM-файлах могут быть весьма разнообразными и не всегда правильными, а порой и вовсе не заданными. Поэтому рекомендуется всегда контролировать корректность выбора нужных данных.
Измеряемый коэффициент диффузии (ИКД, Apparent Diffusion Coefficient, ADC) – аналитическая количественная характеристика, разработанная для того, чтобы снизить влияние Т2 на контраст. Изображения ADC не формируются путем сканирования, а рассчитываются по одной DWI-серии, как правило, для двух разных b-факторов, и имеют такой же размер, как ее 3D-объем.
Интерпретация ADC-изображений условно обратная DWI – чем сильнее ограничена диффузия, тем ниже сигнал на ADC. Совместное использование DWI и ADC позволяет более точно определять зоны действительного ограничения диффузии, без эффектов Т2-просвечивания.
Во многих исследованиях расчет ADC производится по достаточно простой формуле, основываясь на интенсивности сигналов двух DWI с разными b-факторами. Такая ADC называется экспоненциальной или моноэкспоненциальной:

Реже можно встретить и биэкспоненциальную ADC, подавляющую влияние перфузии (движения крови в капиллярах), а также трехэкспоненциальную ADC, которые рассчитываются по более сложным формулам. [6]
Поскольку для DS-задач важна однородность данных, а в исследованиях можно встретить ADC, рассчитанные по разным алгоритмам на основе разных b-факторов, целесообразно отказаться от использования готовых ADC и получать их самостоятельно из имеющихся DWI по, например, моноэкспоненциальной формуле. Для снижения влияния перфузии в этом случае рекомендуется выбирать значение b2 > 250, хотя это не абсолютная рекомендация. Оно, как и значение b1, зависит от изучаемого органа. Например, для рака предстательной железы наиболее информативной может оказаться пара значений b1 = 800, b2 = 50 [8].
Такой расчет ADC требует значений b-факторов, которые в данных могут отсутствовать. Кроме того, в разных исследованиях могут присутствовать DWI с разными b-факторами. Одним из возможных решений этой проблемы является использование для расчета ADC предварительно синтезированных DWI для фиксированных b-факторов.
Несмотря на большое количество публикаций и широкое применение данной технологии, не существует единых стандартов сканирования в режиме DWI. При использовании оборудования разных производителей количественные (интенсивность сигнала на ADC) и качественные (интенсивность сигнала на DWI) характеристики могут сильно различаться. В ряде публикаций приводятся уточнения, касающиеся рекомендуемых режимов сканирования и анализа изображений (например, использование b-фактора не ниже 1000), но общих рекомендаций нет. [6]
ADC тоже не является абсолютной величиной, так как зависит от ряда факторов: параметров сканирования, качества DWI-изображений и характеристик оборудования. В ряде публикаций отмечается условная «пороговая» величина, позволяющая оценить степень злокачественности опухолевого процесса. Так, значения ADC меньше, чем 1,0-1,1 х 10-3, как правило, считаются ограничением диффузии. Но единого мнения относительно границ диапазона нормальной диффузии тоже нет. [6]
Тем не менее, значения ADC гораздо менее вариативны, чем у остальных серий. Поэтому при нормализации таких данных использование констант может оказаться полезнее, чем те же статистики каждого слайса.
Все это приводит к тому, что сравнение абсолютных значений DWI и ADC не только для разных МР-томографов, но и в разных исследованиях на одном аппарате зачастую бессмысленно. А в большом и разнородном наборе данных разнообразие этих серий весьма велико. Использование синтетических серий вместо оригинальных может несколько снизить разнородность данных, но она все равно останется достаточно высокой.
5.4. Динамическое контрастное усиление (DCE)
Не всегда контраста на МРТ-изображениях оказывается достаточно для выявления того или иного заболевания, и повысить его только с помощью аппаратных и программных настроек не удается. Поэтому часто применяются дополнительные методы повышения контраста в зоне интереса и снижению сигналов от тканей, которые интереса не представляют.
Эффективным методом выявления и идентификации патологий является внутривенное или внутритканевое введение контрастных веществ (КВ) и наблюдение за скоростью их накопления и вымывания в разных тканях.
Можно выделить два основных класса контрастных веществ [4]:
-
парамагнитные (хелаты гадолиния);
-
суперпарамагнитные ферритовые частицы (SPIO и USPIO).
Большинство КВ неспецифичны, т.е. могут выделять лишь общие патологические изменения тканей. Но в каждом из этих классов определенные вещества могут быть и органоспецифичными (печень, нервные узлы и т.п.). Сегодня ведется активная работа по созданию специфичных веществ для определения конкретных патологий. А при изучении готовых исследований появляется новый фактор, влияющий на результаты исследования – тип вещества.
Контрастные вещества не видны напрямую. Изменение контраста обусловлено их эффектом сокращения времени релаксации T1 и/или T2 ядер водорода, расположенных поблизости. Если КВ сокращает время T1 (парамагнитные КВ), мы наблюдаем гиперсигнал T1. Если же он сокращает T2 (суперпарамагнитные КВ), будет наблюдаться снижение сигнала T2 и T2* [4].
Парамагнитные КВ применяются чаще, поэтому чаще можно встретить данные, основанные на Т1-взвешенных изображения.
Среди недостатков МРТ с контрастированием:
-
увеличенное время обследования и его стоимость;
-
противопоказания к внутривенному введению контрастных веществ;
-
не всегда достаточная чувствительность к слабо выраженным патологиям.
Поэтому данный вид исследования часто является опциональным и даже при наличии рекомендаций проводится не всегда.
Тем не менее, в настоящее время в клинической практике при МРТ-исследованиях широко применяются различные методики контрастирования, в том числе:
-
контрастное усиление (Contrast Enhancement, CE);
-
динамическое контрастное усиление (Dynamic Contrast Enhancement, DCE).
Контрастное усиление состоит в получении одного 3D-объема данных через определенное время после введения КВ. Часто при этом еще создается полностью аналогичный объем до введения КВ и применяется методика цифрового вычитания (субтракция) для улучшения контраста.
Динамическое контрастное усиление состоит в получении серии одинаковых 3D-объемов через определенный интервал времени, что позволяет анализировать динамику изменения сигнала в зоне интереса и строить динамические кривые. Именно это позволяет оценить наличие и степень выраженности патологии. Например, для злокачественных опухолей характерно быстрое накопление и быстрое вымывание КВ.
По таким графикам с помощью специального ПО часто оценивается не только тип кривой контрастирования, но и разные количественные характеристики, например (источник):
-
скорость накопления контраста (Wash in Rate);
-
интенсивность MP-сигнала на максимуме накопления препарата (TimeTo Peak);
-
скорость вымывания контрастного препарата (Wash out Rate);
-
интенсивность MP-сигнала на 156 секунде динамического контрастирования (In to 156s).
Количество таких объемов в серии может достигать нескольких десятков, а то и сотен. Поэтому для этого типа исследований используются сверхбыстрые ИП (обычно класса градиентного эха) и данные собираются в трехмерном К-пространстве.
Для DS-задач этот тип исследования представляет особую сложность именно из-за структуры данных. Во-первых, гораздо больше вариабельных параметров – не только тип КВ, но и количество 3D-объемов, интервалы между их измерениями и т.п. Во-вторых, основная полезная для диагностики информация содержится в четвертом измерении – в динамике изменения сигнала одной и той же области. Извлечь эту информацию и представить в виде, пригодном для использования нейронными сетями совместно с другими сериями – нетривиальная задача.
Среди DICOM-тэгов существует целый раздел, предназначенный для описания используемых веществ, что позволило бы, как минимум, отделить контрастные серии от остальных:
К сожалению, эти тэги заполняются далеко не всегда. Поэтому отличить контрастную серию от той, на которой она базируется, непросто, ведь основное различие состоит именно во введении КВ. Для DCE-серии в решении этой задачи может помочь ее динамичность – наличие нескольких одинаковых по геометрии объемов, созданных через определенный интервал времени.
Автор: Oksumoron


