Как офтальмолог с более чем 30-летним стажем, я нередко сталкиваюсь с пациентами, которые до последнего не придают значения покраснению, боли или дискомфорту в глазах. Многие уверены: «Промоешь, проморгаешь — и всё пройдёт». Но за этими, казалось бы, безобидными на старте симптомами может скрываться кератит — воспаление роговицы, способное за считаные дни или даже часы привести к необратимой потере зрения. Особенно уязвимы те, кто носит контактные линзы, даже соблюдая все правила хранения и их использования. И тем более тех, кто пренебрегает элементарными правилами гигиены.
Самостоятельно не поставить диагноз кератита, и тем более не вылечить.
Почему кератит называют «убийцей зрения» и как не стать его жертвой — расскажу подробно.
Причины кератита
Главная группа риска — пользователи контактных линз. По данным международных исследований, до 40% всех бактериальных кератитов связаны именно с их ношением. Самые опасные привычки — сон в линзах, использование просроченных или плохо очищенных изделий, и особенно контакт контактных линз с водой – бассейн, баня, водоем. Сон в линзах увеличивает риск микробного кератита в разы, а Pseudomonas aeruginosa — бактерия, обожающая влажную среду — может за считаные часы разрушить роговицу.
Не менее опасны системные заболевания. Аутоиммунные процессы (синдром Шегрена, ревматоидный артрит, болезнь Бехчета и др.) могут вызывать хроническое воспаление роговицы и в разы увеличивают риск развития инфекционного кератита на их фоне даже при малейших повреждениях роговицы.
Иммунодефициты, включая ВИЧ, а также хронические инфекции (например, герпес, хламидиоз и т.п.) делают роговицу уязвимой для бактерий, грибков и даже простейших (Acanthamoeba).
Кератит одинаково популярен в развитых и в развивающихся странах, разница вот в чем: в тропических странах микробный и грибковый кератит часто развивается после механических микротравм и нарушения гигиены, а в развитых — после чрезмерного увлечения линзами или неправильного ухода за ними.
Вы спросите – а как насчёт ковида? Да, он тоже значительно трансформирует иммунный ответ и может стать если не причиной, то неблагоприятным фоном для развития кератита.
Строение роговицы
Представьте, что ваш глаз — это high-end AR-гарнитура, которую природа деплоит «без отладки» ещё до релиза 1.0. В этой системе роговица играет роль фронтенд-линзы и одновременно API-шлюза: через неё проходит 90 % видимого света, причём без перезапуска и с аптаймом десятилетиями. Любой баг в этом «прозрачном прокси» — и картинка в мозгу превращается из 4K-HDR в мутный аналог.
Роговица является передним отделом фиброзной оболочки глазного яблока и составляет около 1/6 её площади. Напоминает по форме стекло часов. Роговица является основой оптической системы глаза. Кстати, именно роговица является точкой приложения при лазерной коррекции зрения. Детально об этом писала в статье «Мы добрались до побочных эффектов лазерной коррекции зрения — и ещё до диагностики».
Сама по себе роговица — это прозрачная бессосудистая ткань со строго упорядоченным волоконным строением и определенным количеством воды. В норме роговичная ткань высокочувствительная, прозрачная, блестящая и гладкая.
Это не кусок пластика, ее строение сложное с точки зрения и биомеханики, и гистологии, и функции.
Пятислойная архитектура роговицы
|
Слой |
Толщина* |
Биофункция |
Инженерная аналогия |
|
Эпителий |
50 µm |
Барьер + «полировка» |
Firewall: отсекает пыль, равняет «поверхность» для идеальной оптики |
|
Боуменова мембрана |
8-12 µm |
Механическая броня |
Закалённое стекло защитного стекла смартфона |
|
Строма |
450-500 µm |
90 % толщины; задаёт кривизну |
Оптоволоконный матричный слой – волокна коллагена с точным углом укладки |
|
Десцеметова мембрана |
8-10 µm |
«Биологический фаервол» для эндотелия |
Backend API-gateway: фильтрует токсины, контролирует доступ жидкости |
|
Эндотелий |
5 µm (однослойный) |
Откачка лишней влаги, поддержка прозрачности |
BIOS-скрипт охлаждения: насос-ионная помпа, предотвращающая запотевание «матрицы» |
*Средние значения для взрослого человека
Эпителий – живой CDN и автопатчер
Обновляет себя каждые 7 дней: стволовые клетки лимба — как Git CI, развертывающий новый билд поверх старого без даунтайма.
Повреждения ≤ 0.1 mm закрываются за часы: локальный hotfix.
Гликокаликс на поверхности удерживает слезу — аналог кеширования, уменьшающего «тормоза» при мигании.
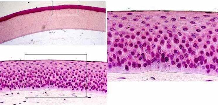
Это плоская многослойная неороговевающая клеточная ткань; в основном данный слой выполняет защитную функцию и быстро восстанавливается при повреждениях; также эпителий снабжает роговицу кислородом и регулирует поступление жидкости в её внутренние слои. Как раз он и травмируется первым при возникновении кератита – механически или под влиянием расплавляющих свойств инфекционных агентов.
Боуменова мембрана – «корневая» ACL
Сваренная из хаотичных коллагеновых fibrils, она берет удар (а также царапины, UV) на себя. Если эпителий снимают при PRK-лазере, Боуменова мембрана (БМ) — последний нефильтруемый лог, где фиксируется «история абразивов».
Это слой, который участвует в питании роговицы и пронизан нервными окончаниями, при повреждении не восстанавливается, замещается в случае кератита соединительной тканью – рубцом. Является опорной мембраной для эпителия.
Строма – стек с волоконно-ориентированным RAID-0
Коллагеновые листы уложены крест-накрест под 60°. Удалённость волокон меньше длины световой волны ➜ дифракция минимальна ➜ «канал» прозрачный. Кератоциты выступают как Watchdog, чиня повреждения, но медленно — похожи на бек-офис, отвечающий на тикеты в N².
Это роговичная ткань, составляющая наибольшую часть роговицы (около 90% всей ее толщины); коллагеновая решётка с упорядоченным «стэком» стромальных фибрилл диаметром ~30 нм и клеток, отвечающих за регенерацию. Если воспалительный процесс затрагивает строму, то бесследно он никогда не проходит. Всегда остается помутнение – в легких случаях в виде нежных облаков, практически не влияющих на зрение. В тяжелых случаях – тотального помутнения в виде грубого бельма.
Именно строма является местом приложения при лазерной коррекции – при ФРК для того, чтобы до нее добраться мы «сносим» эпителий+Боуменову мембрану, при SMILE работаем только в строме, оставляя верхние слои нетронутыми.
Десцеметова мембрана – zero-trust периметр
С возрастом утолщается: автотюнинг правил. При кератоконусе протыкается — аналог SQL-инъекции, после чего строма набухает (острый гидропс).
Это слой, который отделяет строму от эндотелия, внутреннего слоя. Десцеметова оболочка состоит из сети тонких коллагеновых волокон и служит очередным барьером, предотвращающим попадание в глаза инфекций. Хотя эта мембрана очень нежная – всего 20-30 микрон, но все же может стать механическим препятствием и тогда под воздействием внутриглазного давления провисает кнаружи. Состояние это называется десцеметоцеле и требует срочного, немедленного хирургического лечения в виде закрытия дефекта «заплаткой» из донорской роговицы или подходящего для этого материала.
Эндотелий – насосный микросервис
Всего один слой hex-клеток (~3000 к/мм² у новорождённого). Делятся неохотно, поэтому каждая «процессорная ядра» берёт больше нагрузки по мере износа. Когда плотность < 500 к/мм² — система перегревается, роговица мутнеет, «kernel panic» = отёк.
Он отвечает за питание роговицы и регулирует количество содержащейся в ней влаги.
Процесс питания роговицы происходит в результате работы сосудов, нервов, а также благодаря наличию слезной пленки и влаги передней камеры. Но, что важно, – при этом в самой роговице сосудов нет, именно благодаря этому она прозрачная! Если в нее начинают врастать сосуды, то она мутнеет, теряет свои преломляющие и оптические свойства – глаз слепнет.
Основная функция роговицы, помимо оптической — защитная. Эта часть глаза первой подвергается негативному воздействию окружающей среды. Любое, даже малейшее раздражение поверхности роговицы, вызывает у человека безусловный рефлекс — смыкание век и усиленное слезотечение. Выделяемые слезы мгновенно смывают с поверхности глазного яблока мелкие инородные частицы или химические вещества, а также защищают структуры глаза от повреждений.
Если функция век нарушается, например, после блефаропластики происходит неполное смыкание век, то вероятность кератита резко возрастает.
Лагофтальм – недозакрытие глазной щели из-за пластики век или неврологических проблем ведет к высыханию части глазной поверхности, появлению входных ворот для инфекции и развитию кератита.
Что происходит «под капотом»
Кератит — не «конъюнктивит++», а угроза «kernel-panic» зрительной системы.
Физика повреждений при нем следующая:
-
Эпителий трескается ⟶ как царапина на объективе: свет рассеивается.
-
Строма пропитывается экссудатом ⟶ аналог битых пикселей: локальное помутнение.
-
Кератоциты переключаются в «dev-mode», продуцируя MMP-9 ⟶ расшатывают коллаген ⟶ истончение.
-
При бактериальной атаке P. aeruginosa выделяет протеазы, «деградируя CSS» роговицы за часы.
-
Иммунные комплексы при аутоиммунных кератитах — как бесконечный рекурсивный вызов, «кладёт процессор» без микробов.
Как это ощущает пользователь
Коварство кератита — в его маскировке под обычный конъюнктивит. На ранних стадиях появляются признаки роговичного синдрома: светобоязнь, слезотечение, ощущение песка или инородного тела, покраснение, спазм век. С той или иной степенью выраженности, иногда совсем незначительная – от конъюнктивита или просто синдрома сухого глаза субъективно не отличить.
Если воспаление затрагивает центральную зону роговицы, зрение быстро ухудшается. Если периферию, то острота зрения на первых порах может пострадать не сильно. Особенно тревожные признаки кератита: интенсивная боль, выделения гноя или слизи из глаза, быстрое ухудшение зрения, отсутствие реакции зрачка на свет. Иногда – нечувствительность (нейротрофический кератит).
Такие симптомы требуют немедленного обращения к офтальмологу.
Поздние симптомы — помутнение роговицы, язвы, резкая боль, снижение чувствительности роговицы. В тяжёлых случаях формируется бельмо — плотный рубец, который навсегда лишает человека зрения на поражённом глазу.
Да и внешне эта проблема косметически значима.
Методы диагностики
Современная диагностика кератита включает прежде всего осмотр с помощью щелевой лампы – микроскопа, с помощью которого бинокулярно можно рассмотреть структуры с увеличением и оценить глубину и площадь повреждения.
Для визуализации дефектов эффективно окрашивание флюоресцеином.
Важным диагностическим методом является микроскопия отделяемого из полости конъюнктивы или соскоба роговицы, посевы на питательные среды для выявления возбудителя. В сложных случаях применяют ПЦР-диагностику, конфокальную микроскопию, оптическую когерентную томографию в качестве дополнительных методов постановки диагноза.
Все шире в мировой практике внедряются алгоритмы искусственного интеллекта для анализа изображений роговицы. Чем раньше установлен диагноз и определен возбудитель — тем выше шанс сохранить зрение.
Лечение
Тактика лечения зависит от причины.
Важно, что лечение кератита – это всегда длительный процесс, занимающий не только недели, но порой и месяцы восстановления.
Бактериальный кератит требует немедленного назначения антибиотиков широкого спектра (чаще всего фторхинолонов), иногда — фортифицированных растворов.
После уточнения возбудителя терапию корректируют. Однако причина кератита устанавливается далеко не всегда – заболевание с названием «Кератит неуточненный» с МКБ-кодом H16.9 частое, поскольку микроорганизмы и их вариативность настолько изменчивы, что посевы оказываются стерильными, несмотря на клиническую картину кератита. Кроме того, существуют микс-инфекции – например, хламидия+вирус.
Вирусный кератит (чаще всего герпетический) лечится противовирусными препаратами (ацикловир, ганцикловир), иногда — иммуномодуляторами.
Грибковый кератит требует противогрибковых средств (натамицин, амфотерицин B, вориконазол), а в тяжёлых случаях — хирургии. Например, бандажной покровной или даже сквозной кератопластики.
Аутоиммунный кератит лечится иммуносупрессорами (кортикостероиды, циклоспорин, биологические препараты).
В общем, ранний «лог-коллектор» (флюоресцеиновый паттерн, посев, конфокал) решает исход.
Важно то, что самолечение категорически недопустимо, промедление даже на сутки может стоить зрения.
Кейс из практики: DevOps против «корневого бэкапа»
Пациент: 32-летний DevOps-инженер, очки сменил на дневные силикон-гидрогелевые линзы.
День 0: после ночной смены «почесал глаз» — царапина линзой.
День 1: покраснение, «песок», Δ зрения —0.2 logMAR.
День 2, 07:12: обратился в экстренную офтальмологию (важный SLA!). Микроскопия — поле > 1 мм, гнойный инфильтрат; экспресс-посев P. aeruginosa.
Менеджмент по PPP-2024: сразу фортифицированный 0,5 % цефтазидим + 1,5 % левофлоксацин q1h, циклоплегик, боль-management. Через 48 ч добавлен PACK-CXL «на горячую» (доведено до клинической нормы в RCT 2019+2024) (escrs.org).
День 10: инфильтрат рубцуется, острота 0.9 без коррекции очками.
День 30: остаточный субэпителиальный рубчик 0,1 Δ-логMAR, пациент возвращается к клавиатуре. Ключевой фактор успеха — раннее обращение и соблюдение «тайминга коммитов» терапии.
Кератит и лазерная коррекция
Поскольку вот уже 30 с небольшим лет я делаю различного типа операции, включая операции по лазерной коррекции, я порой сталкиваюсь с ситуациями, когда кератит возникает после лазерной коррекции.
Хочу подчеркнуть – не в результате лазерной коррекции, а именно после как хронологически последовательное событие. Например, через несколько месяцев или лет. Но инфекция может «присесть» и раньше – даже в раннем послеоперационном периоде.
Для профилактики инфекционного и неинфекционного кератита мы в обязательном порядке после лазерной коррекции назначаем комбинированные препараты антибиотика широкого спектра действия+противовоспалительного кортикостероида. Также в комплект входят увлажняющие препараты, улучшающие глазную поверхность.
И, разумеется, мы запрещаем капать в глаз что-то вне назначений!
Например, был у меня пациент после коррекции, который капал вдобавок, ранее открытый Визин просто потому, что капал его ранее, когда глаза краснели. А еще читал аннотации к препаратам и самостоятельно изменял схему лечения! Как тут не случиться кератиту! Как говорится, только кажется, что учить и лечить может каждый. На самом деле только специалист нужного офтальмологического профиля знает, как не навредить и адекватно помочь в данной ситуации.
Очень влияет на течение кератита и его появление наличие хронических воспалительных и системных заболеваний. Поэтому, пожалуйста, делитесь с вашим лечащим врачом всеми проблемами со здоровьем, всем перечнем перенесенных ранее и имеющихся заболеваний – это поможет предотвратить риск кератита. Например, болезни урогенитального тракта, как острые, так и хронические, могут стать причиной воспаления роговицы и более глубоких структур без лазерной коррекции, и после нее несмотря на свою «отдаленность» от глаза.
Кстати, кератиты после ношения мягких контактных линз в разы чаще случаются, гораздо тяжелее протекают и исходы их менее благоприятны!
Безусловно, чем меньше хирургическое воздействие – меньше плотность энергии, меньше травматизация тканей, тем лучше!
Поскольку SMILE PRO является микроинвазивной технологией, а я ее активный адепт – при всех ее огромных преимуществах есть одно основополагающее превосходство – всего один микровход линейный всего в 2 мм. Это на порядок снижает риск внедрения инфекционного агента в операционную инцизию.
Неинфекционный кератит или DLK
А бывают ли неинфекционные кератиты? Да, бывают. Связаны они с особенностями реагирования иммунной системы на разные факторы ее раздражающие.
DLK — коварный «битый сектор» в интерфейсе LASIK/SMILE: стерильное воспаление именно в строме, которое за считаные часы способно уронить зрение, но при своевременной диагностике отступает без потерь.
Почему после лазера иногда «горит» строма?
Представьте себе жёсткий диск, где между пластиной и головкой внезапно просыпался песок. В роговице роль «головки» играет лазерный лоскут, а песчинками становятся активированные лейкоциты. Во время формирования лоскута эпителий получает микроповреждения: клетки сразу выбрасывают алармины IL-1α/β, TNF-α и запускают каскад воспаления. Уже через 6–8 ч под лоскутом видна белёсая «взвесь» — классические «пески Сахары».
Как часто встречается? Большое ретро-исследование на 15 119 глаз показало, что частота DLK после варьирует от 0,1 % до 0,94 %. Ключевые триггеры:
-
избыточная энергия фемто-лазера > 1 µJ;
-
металлическая стружка от микрокератома (и в этом дополнительный риск LASIK);
-
сухой воздух в операционной < 30 % RH;
-
аллергический фон пациента
-
неудаленный фрагмент лентикулы при SMILE, провоцирующий отсроченную вспышку воспаления.
Отдельная тема — оксидативный стресс. Работы 2023 г. показали, что лентикулярная хирургия вызывает меньший провал аскорбиновой кислоты, чем FS-LASIK, а значит и меньше «топлива» для воспаления.
Краткий вывод
DLK — тот случай, когда скорость реакции решает всё. Диагностика на Stage 1–2 и «стероидный DDOS» позволяют сохранить исходные 20/20 почти в 100 % случаев.
Можно ли полностью исключить риск DLK, если перейти на SMILE? Нет. Риск ниже, но не нулевой, минимизирован при аккуратной хирургии и оптимизированной энергии до 1 случая на 5 000 – 10 000 случаев. При ЛАСИК – в разы выше.
Если «ничего не делать», само пройдёт? Может, но оставит рубец с нерегулярным астигматизмом; потом шлифовка или пересадка.
Сколько длится «стероидный марафон»? Несколько недель по убывающей схеме. Он крайне эффективен, но, если проморгали — зрение может так и не вернуться в «4К».
Быстрая карта причин и видов
|
Тип «аварии» |
Основной триггер |
Ключевые патогены / факторы |
Время до «фатального» падения зрения* |
|
Вирусный |
Реактивация HSV-1/2, VZV; ослабленный иммунитет |
Herpes simplex, Varicella-Zoster |
дни–недели |
|
Бактериальный |
Контактные линзы (40 % всех случаев), травмы, сухой глаз |
P. aeruginosa, S. aureus, «DevOps-любимец» Acanthamoeba |
часы–дни |
|
Грибковый |
Ношение линз в душе/бассейне, тропический климат, длительные стероиды внутрь или местно |
Fusarium, Aspergillus, дрожжи |
недели, но риск перфорации ↑↑ |
|
Неинфекционный (иммунный) |
Ревматоидный артрит, синдром Шегрена, атопия |
Иммунный каскад, без микробов |
хронизация, медленный деструктив |
* Условные сроки при отсутствии лечения.
Детальный разбор критериев диагностики и терапии приводится в PPP-гайдлайне AAO-2024 (aaojournal.org) и в обновлениях ESCRS по грибковому кератиту (2024) (escrs.org).
Прогноз и осложнения
Несвоевременное или неправильное лечение кератита — прямой путь к потере зрения. Глубокие язвы роговицы, перфорация, формирование бельма, вторичная глаукома, иридоциклит, эндофтальмит — лишь часть возможных осложнений. По данным международных исследований, ежегодно тысячи пациентов теряют глаз из-за осложнённого кератита. Особенно опасен грибковый кератит: риск перфорации роговицы у таких пациентов в 6 раз выше, чем при других формах.
Профилактика
Главное правило — культура ношения контактных линз. Всегда мойте руки перед тем, как прикасаться к глазам или линзам. Никогда не спите в линзах, если это не предусмотрено их типом. Не используйте воду для промывания линз и контейнеров. Меняйте контейнер каждые 1–3 месяца. Не носите линзы дольше рекомендованного срока. При малейших признаках дискомфорта — снимайте линзы и обращайтесь к врачу.
Не менее важно своевременно лечить фоновые заболевания: синдром сухого глаза, аллергии, аутоиммунные и инфекционные процессы. Регулярные осмотры у офтальмолога — залог раннего выявления проблем и сохранения зрения.
Профилактика для тех, кто живёт за экраном
Хард‐скилл: культура пользования линзами
git commit -m “Always wash hands → before touching lens”
git commit -m “No sleep in lenses (unless extended-wear FDA CLR)”
git commit -m “Fresh solution only; H₂O ≠ раствор”
git commit -m “Lens off → бассейн, душ, сауна”
git commit -m “Replace case q3m”
Софт‐скилл: DevOps-гигиена глаза
-
20-20-20-rule: каждые 20 мин 20 сек смотреть на 20 футов (≈6 м).
-
Увлажняющие капли PF-(preservative-free) q4-6h — аналог «cooling spray» для ЦП.
-
Поддержка тиреального (слезного) слоя: достаточный омега-3 intake (EPA ≥ 1000 мг/day).
-
AI-friendly reminder: поставьте cron-job в часы ⟨09:00, 13:00, 17:00⟩ → blink-exercise.
Управление системными рисками
У DevOps-а тело — как прод-сервер: скрытые процессы влияют на фронтенд.
-
Лечите хронические очаги (гайморит, дерматит, ИППП).
-
Сообщайте офтальмологу об иммуномодуляторах/стероидах.
-
Проверяйте HLA-B27, если в анамнезе артриты.
Когда идти к врачу? «Логика тригерра»
if (redEye && pain) goto ophthalmologist
else if (redEye && contactLens) goto ophthalmologist
else if (visionDrop >= 0.1 logMAR) goto ophthalmologist…
Скорость развития бактериального кератита исчисляется часами; каждая «пропущенная итерация» терапии снижает прогноз.
Ссылки на литературу
-
Bacterial, Fungal, and Acanthamoeba Keratitis: Pathogenesis, Diagnosis, and Treatment (PubMed, 2022): https://pubmed.ncbi.nlm.nih.gov/35610943/
-
Herpetic Keratitis: Current Pathogenesis and Therapy (PubMed, 2017): https://pubmed.ncbi.nlm.nih.gov/28942073/
-
Next-Generation Sequencing for Infectious Keratitis Diagnosis (PubMed, 2024): https://pubmed.ncbi.nlm.nih.gov/38716089/
-
Acanthamoeba Keratitis: Risk Factors and Prevention (PubMed, 2017): https://pubmed.ncbi.nlm.nih.gov/25687209/
-
Fungal Keratitis: Current Clinical and Laboratory Diagnosis (PubMed, 2023): https://pubmed.ncbi.nlm.nih.gov/38847789/
Уведомление об использовании изображений
Изображения, представленные в данной статье, заимствованы из открытых источников и используются исключительно в образовательных и информационных целях в соответствии с принципами свободного использования произведений, установленными статьей 1274 Гражданского кодекса Российской Федерации (в частности, в качестве иллюстраций и цитирования). Все права на данные изображения принадлежат их законным авторам и правообладателям.
Автор: TShilova


